Dental Services
Orthodontics
Evidence-based orthodontic care for children, teenagers and adults — planned for natural aesthetics, comfortable function and long-term stability.
Orthodontic treatment is a specialist area of dentistry focused on diagnosing, preventing and correcting irregularities of the teeth and bite. A well-planned orthodontic result should look natural, function comfortably, be straightforward to maintain, and remain stable over time. We provide orthodontic care for children, teenagers and adults, using evidence-based planning and modern appliances tailored to your clinical needs, aesthetic preferences and long-term dental health.
How treatment typically works
- Initial consultation: in-depth assessment of your concerns, tooth alignment, bite relationships, jaw function where relevant, and gum health — plus sequencing if orthodontics must be coordinated with restorative care.
- Records and diagnostics: digital scans (often replacing traditional impressions), clinical photographs and x-rays where appropriate to assess tooth position, roots and bone support.
- Personalised treatment plan and consent: appliance options, expected timelines, review intervals, benefits, limitations and any adjuncts (attachments, elastics, bite-opening mechanics or IPR) — plus risks and how we minimise them.
- Starting treatment: fitting braces or providing aligners, with clear guidance on cleaning, comfort, and diet/wear-time routines.
- Active treatment and progress monitoring: regular reviews to adjust mechanics, monitor bite changes and protect gum health — with interdisciplinary coordination when needed.
- Finishing and detailing: refinement of contacts, angulation, symmetry and bite design to support a natural look and protect restorations where planned.
- Debonding, retention and long-term stability: transition into fixed and/or removable retainers, with guidance on maintenance, breakage/fit issues and long-term review.
Why patients choose EgoDent
- Crowding, spacing, protrusion (increased overjet), deep bite, open bite and crossbite correction
- Bite and jaw relationship assessment to support comfortable long-term function
- Relapse management for teeth that have shifted after previous orthodontic treatment
- Pre-prosthodontic orthodontics to create ideal space for implants and restorations
- Pre-restorative orthodontics before veneers, bonding, crowns or full-mouth rehabilitation
- Retention strategy designed around relapse risk for long-term stability
What orthodontics can help with
Orthodontic treatment may be recommended if you have:
- Crowded or overlapping teeth (teeth that are difficult to clean or feel "out of line")
- Spacing or gaps between teeth
- Protruding front teeth (increased overjet), which can be more prone to chipping or trauma
- Deep bite (upper teeth cover too much of the lower teeth)
- Open bite (front teeth do not meet)
- Crossbite (upper teeth bite inside the lower teeth at the front or sides)
- Jaw or bite imbalance that affects function or appearance
- Relapse after previous orthodontics, where teeth have moved over time
If you are unsure whether treatment is appropriate, we can assess your bite, smile and tooth alignment and explain your options clearly.
Pre-prosthodontic orthodontics (making space for implants and restorations)
When a tooth has been missing for a period of time, neighbouring teeth often drift, tip, rotate or over-erupt into the space. This is common and can make replacement more difficult or lead to compromise in the final aesthetic and function.
Pre-prosthodontic orthodontic treatment repositions teeth to create ideal space and alignment before restorative treatment—often an implant, bridge or crown—so the final restoration can be placed in the correct position and shape.
Typical situations include:
- A space that is too narrow for an implant
- Adjacent teeth tipped into the gap, reducing usable space and altering the bite
- The opposing tooth over-erupted, reducing vertical clearance
- Misalignment that compromises ideal contacts, gum levels, and emergence profile
Pre-restorative orthodontics (before veneers, bonding, crowns, or full-mouth rehabilitation)
Orthodontics can also be used to prepare for cosmetic or reconstructive dentistry, including veneers, composite bonding, crowns, and full-mouth rehabilitation. In many cases, aligning and coordinating the bite first allows restorative work to be more conservative, more symmetrical, and more durable.
How orthodontics contributes to restorative excellence
1) Conservative tooth preparation
By correcting rotations, crowding and tooth positions first, the restorative dentist can often achieve the planned smile with less enamel reduction, particularly in veneer cases where misalignment would otherwise need to be "masked" by more aggressive preparation.
2) Improved proportions and symmetry
Orthodontics can redistribute space, refine midlines and tooth angulations, and improve the smile arc—creating an ideal foundation so veneers or bonding can be designed with natural proportions rather than compensating for underlying misalignment.
3) Better bite design to protect restorations
A stable, well-distributed bite helps reduce the risk of chipping, debonding and accelerated wear. Orthodontics can reduce traumatic contacts and optimise front-to-back tooth relationships, which is especially important in full-mouth rehabilitation.
4) Optimised gingival architecture
Tooth position influences gum contour and emergence profile. Where appropriate, orthodontic alignment can improve the aesthetic integration of restorations in the smile zone.
Types of braces and bracket systems
The choice of brace depends on your clinical requirements, aesthetic preferences, and the type of bite correction needed. We will recommend the most suitable option and explain why.
Conventional / traditional metal braces
Modern stainless-steel brackets and wires, highly effective across a wide range of cases.
Advantages
- Excellent control and versatility, including for complex tooth movements
- Robust, efficient, and often the most cost-effective option
- Reliable for detailed finishing
Considerations
- Most visible option
- Requires meticulous cleaning around brackets
- Mild irritation is common initially while cheeks/lips adapt
Damon brackets (self-ligating fixed braces)
Damon is a type of fixed brace system that uses a self-ligating bracket design (the bracket holds the wire without traditional elastic ties in many cases). It is a modern approach that can improve efficiency in certain treatment stages.
Advantages
- Often smoother mechanics with reduced need for elastic ties
- May improve comfort for some patients and can reduce plaque retention from elastics
- Appointments can be efficient because there are fewer components to change
- Useful in many alignment and arch development strategies, depending on the case
Considerations
- Not "better" for everyone—outcomes depend on diagnosis, planning and technique
- Still visible (metal); aesthetic alternatives may be preferred by some patients
- As with any fixed brace, excellent oral hygiene is essential
Iconix brackets (champagne/gold-toned aesthetic braces)
A fixed brace option with a warm champagne/gold finish, designed to look softer than silver metal.
Advantages
- More aesthetic than conventional metal for many patients
- Fixed braces provide excellent control for bite correction and finishing
- A good balance between appearance and performance
Considerations
- Still visible at conversational distance
- Appearance can be influenced by elastics and hygiene (as with all fixed appliances)
Ceramic braces (tooth-coloured / clear brackets)
Ceramic brackets are tooth-coloured or translucent, making them less noticeable.
Advantages
- More discreet than metal braces
- Strong option for adults who want fixed braces with a lower profile
- Can achieve very high-quality finishing
Considerations
- More brittle than metal and can be more prone to chipping
- Some components (wire/elastics) may still be visible
- In some cases, mechanics can differ slightly due to friction—this is managed in treatment planning
Clear aligners (removable transparent aligners)
Clear aligner treatment uses a series of custom-made, removable transparent aligners to gradually guide teeth into position. Treatment is planned digitally and progresses through small, controlled steps.
How aligners work
- You wear a sequence of aligners, each moving teeth slightly
- Aligners are worn 20–22 hours per day, removed only for eating/drinking (except water) and brushing
- Aligners are changed at planned intervals (commonly weekly or fortnightly)
- Small, tooth-coloured attachments may be used to improve control and enable more complex movements
- Where needed, IPR (a carefully measured, minimal enamel reshaping) can create space conservatively and improve the final fit and stability
- Elastics may sometimes be used with aligners to help correct the bite
Advantages
- Discreet and subtle day-to-day
- Removable, so brushing and flossing are easier than with fixed braces
- Usually comfortable, with no brackets rubbing cheeks/lips
- No food restrictions (aligners are removed for meals)
- Digital planning supports predictability and structured progress monitoring
Considerations
- Success depends strongly on consistent wear
- Certain bite corrections and more complex movements may be more predictable with fixed braces, or with a combined approach
- Attachments may be visible up close
- Requires good daily routines and careful handling to avoid loss or breakage
Why choose a Specialist Orthodontist?
Orthodontics is technically demanding because tooth movement must be achieved safely within the limits of root support, bone and gum health—while also delivering a stable bite and a natural-looking smile. A Specialist Orthodontist is a dentist who has completed additional formal postgraduate training in orthodontics and is recognised on the GDC Specialist List for Orthodontics.
What this means for you in practical terms
- More accurate diagnosis and planning: not only "straight teeth", but detailed assessment of bite, jaw relationships, facial balance, and long-term stability.
- Better management of complex cases: crossbites, open bites, deep bites, significant overjets, and adult cases with missing teeth or tooth wear often need specialist-level biomechanics and sequencing.
- Integration with restorative dentistry: specialist orthodontic planning is particularly important for implant site development, pre-veneer alignment, and full-mouth rehabilitation, where the orthodontic outcome directly affects how conservative, symmetrical, and durable the final restorations can be.
- Risk control and tissue protection: careful mechanics and monitoring reduce avoidable risks such as unwanted root movement, gum recession in susceptible areas, or unstable bite relationships.
- High-quality finishing and retention strategy: stability is not accidental. A specialist approach includes precise finishing and a retention plan designed around relapse risk.
What to expect (comprehensive overview)
1) Initial consultation
Your first visit is an in-depth assessment designed to clarify what is happening with your teeth and bite, and what can realistically be improved. We start by discussing your concerns and priorities—whether that is aesthetics, bite function, long-term stability, or preparation for implants/veneers/restorations. We then assess tooth alignment, bite relationships, jaw function where relevant, and gum health, because healthy foundations are essential for safe orthodontic movement.
If orthodontics needs to be coordinated with restorative care (for example, implant space creation, pre-veneer alignment, or full-mouth rehabilitation), we will explain the proposed sequence and how orthodontics supports the final result.
2) Records and diagnostics
Accurate planning is based on accurate records. Where appropriate, we will take digital scans (often replacing traditional impressions), clinical photographs, and x-rays to assess tooth position, root health and bone support. These records allow us to plan with precision, to identify any risk factors early, and to explain your options clearly—often using visual examples so you can understand the rationale behind the recommended approach.
3) Your personalised treatment plan and consent
After assessment and records, we produce a tailored treatment plan. This will outline the diagnosis and key priorities, the appliance options suitable for your case (braces and/or aligners), and the expected timelines and review intervals. We will also explain the likely benefits and any limitations, as well as adjuncts that may be needed to achieve the best result—such as attachments, elastics, bite-opening mechanics, or IPR (small, carefully measured enamel reshaping to create space conservatively).
Just as importantly, we discuss risks and how we minimise them. These can include enamel demineralisation if oral hygiene is poor, gum inflammation, temporary tenderness, or relapse risk if retention is not followed. You will have the opportunity to ask questions, and we only proceed once you feel confident in the plan.
4) Starting treatment
Once your oral health is stable and you decide to proceed, we begin treatment by fitting braces or providing your aligners, depending on the chosen approach. You will receive detailed guidance on looking after your appliance, cleaning effectively, and what to expect in the first few days. For fixed braces we also discuss diet modifications to reduce breakages, while for aligners we focus on wear time, cleaning routines and safe handling.
It is normal to experience some pressure or tenderness at the start and after adjustments; this usually settles within a few days. We will advise you on how to manage this and when to contact us.
5) Active treatment and progress monitoring
Throughout treatment, regular reviews are essential. At these appointments we adjust your appliance, monitor tooth movement and bite changes, and ensure gum health remains stable. We also refine the mechanics as needed—orthodontics is an active, responsive process, and small adjustments can make a significant difference to efficiency and finishing quality.
Where orthodontics forms part of a broader restorative plan, we may liaise with your general dentist or restorative clinician to confirm that spaces, tooth positions and bite relationships are exactly right for the next stage.
6) Finishing and detailing
The finishing stage is where the "polish" happens. We focus on refining tooth angulation, contacts, bite relationships and symmetry so your result looks natural and functions comfortably. If restorative dentistry is planned, the orthodontic finish is tailored to support that outcome—for example, creating ideal spacing and tooth positions for veneers, crowns or implant restorations, and ensuring the bite is designed to protect the final work.
7) Debonding, retention and long-term stability
Once treatment goals are achieved, braces are removed or aligner treatment is completed and we transition immediately into retention. Teeth have a natural tendency to move over time, so retainers are an essential part of orthodontic care—not an optional extra. We will recommend the most appropriate retention approach for your case, which may include a bonded (fixed) retainer, a removable night-time retainer, or a combination.
We will explain how to look after retainers, what to do if one breaks or stops fitting properly, and the long-term plan for review. Stability is a key part of a high-quality orthodontic outcome.
Book a consultation
Whether your priority is aesthetics, bite improvement, space creation for implants, or preparation for veneers or full-mouth rehabilitation, we will guide you with a structured plan and a focus on long-term stability and dental health.
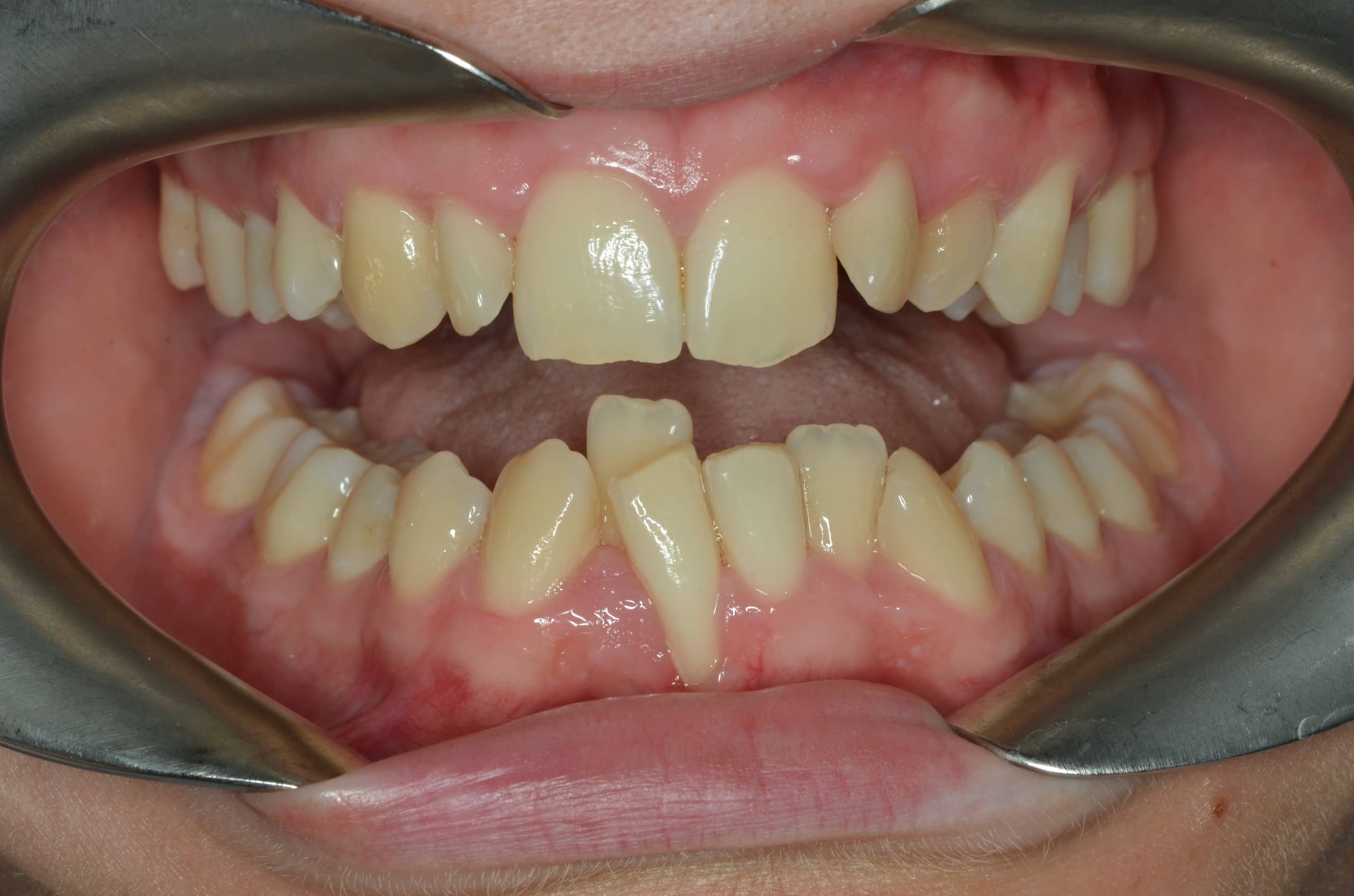
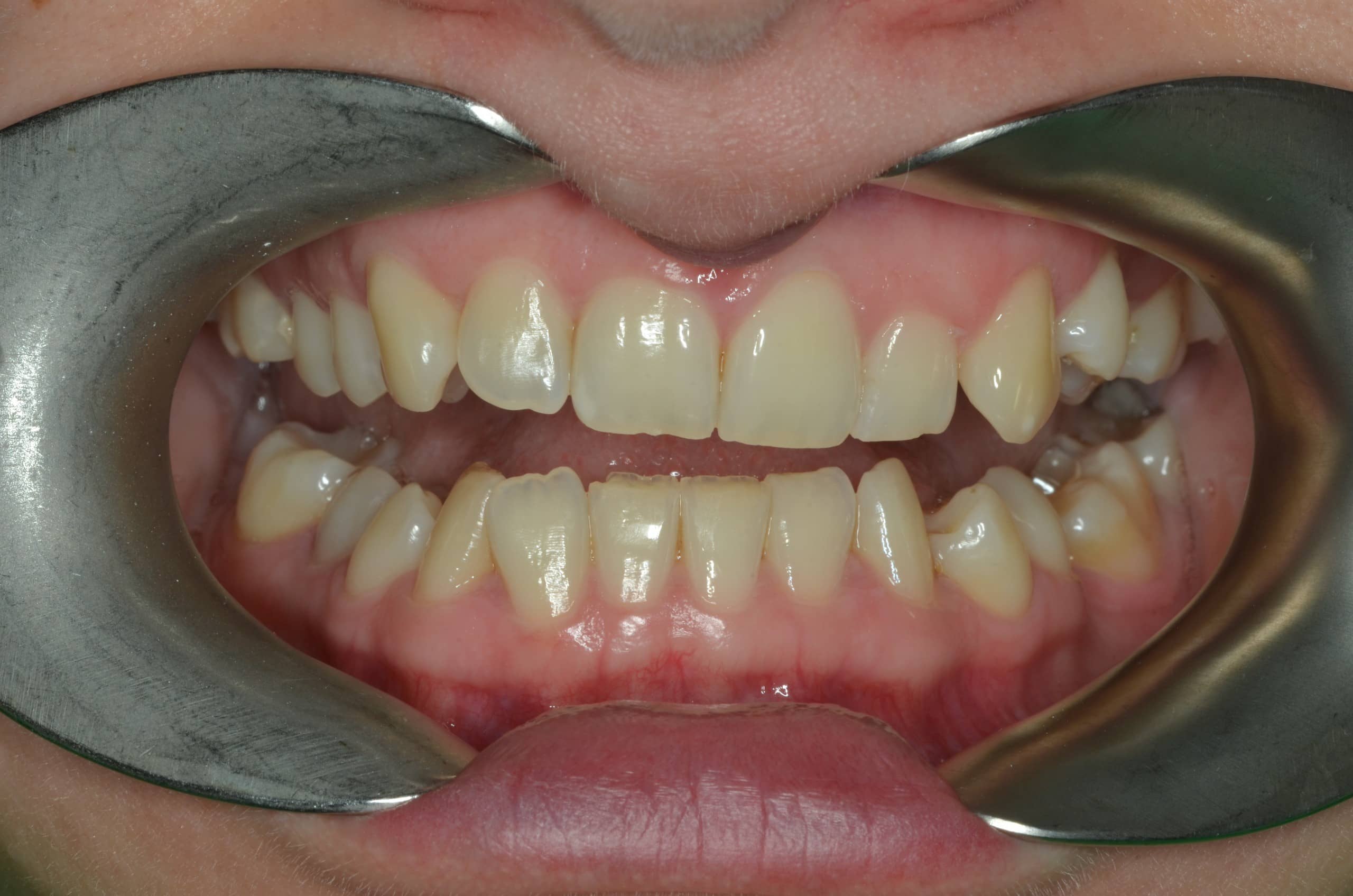
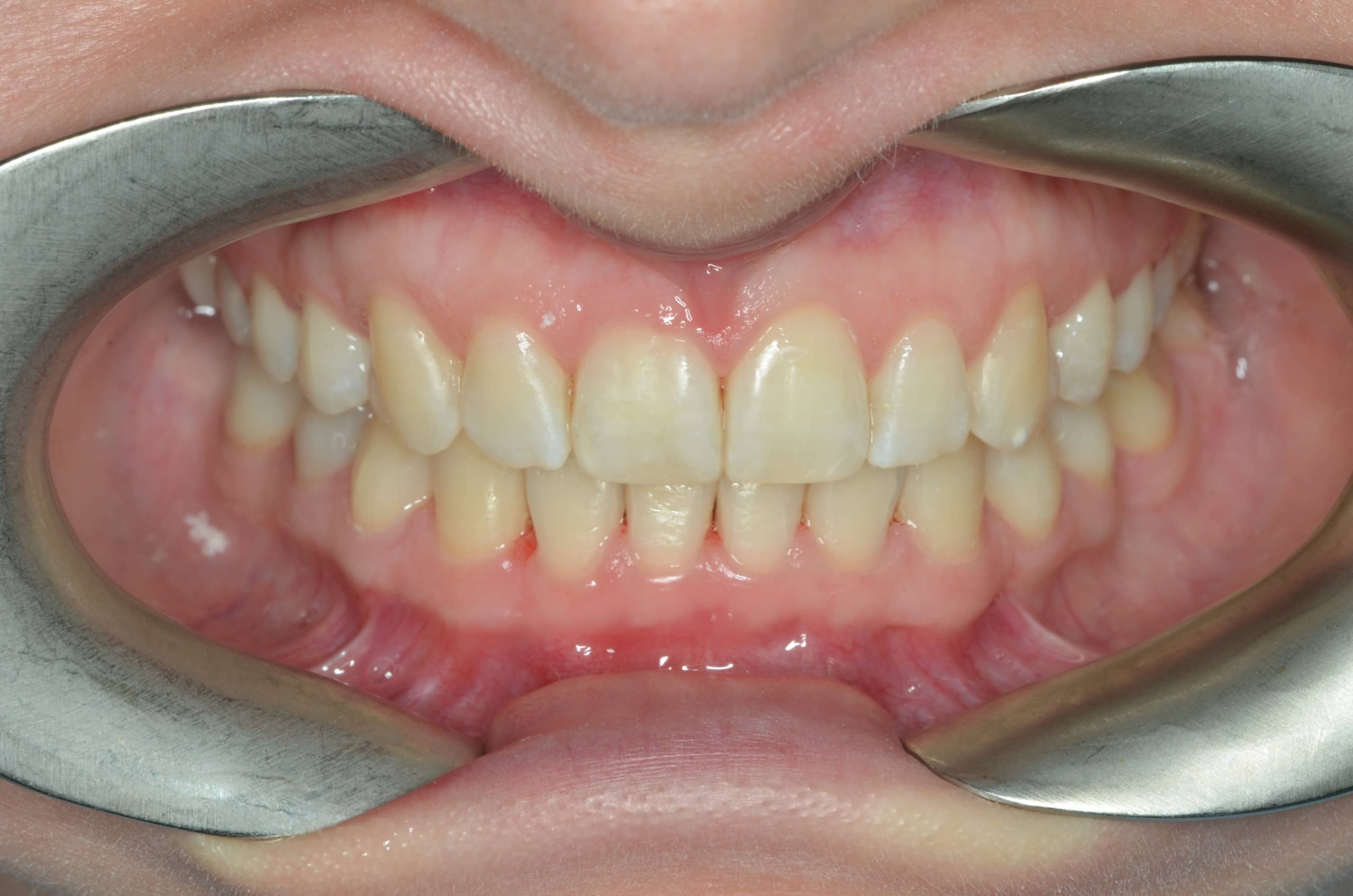
Before & After


Orthodontic case 1
Alignment and bite improvement using clear aligners or fixed braces.


Orthodontic case 2
Alignment and bite improvement using clear aligners or fixed braces.


Orthodontic case 3
Alignment and bite improvement using clear aligners or fixed braces.
Request a Consultation
Leave your details and our patient coordinator will contact you shortly to discuss your orthodontics options.
Ready to discuss orthodontics? or call 02033 016323.
Book a consultation