


Dental & Medical clinics in Stanmore and Walton-on-Thames.

All dental services, from checkups to implants.

General practice, health checks and more.

Meet the Team
At EgoDent, our clinicians, dental technicians and medical staff work together to deliver exceptional care. With expertise in digital dentistry, implants, orthodontics, restorative treatments and advanced medical services, our multidisciplinary team ensures every patient receives a personalised, seamless and premium experience.
Contact Our TeamOur Main Services
Two core services, one standard of excellence — same-day medical care and world-class dentistry.
EgoDent Dental — Stanmore & Walton-on-Thames
Premium DentalPremium dentistry with full mouth implants, veneers, cosmetic treatments and family dental care delivered by specialist clinicians.
Explore DentalPrivate Clinic — Same Day Appointments
Private MedicalFast access to private GP consultations, diagnostics and medical care with no waiting lists. Same-day appointments available.
Explore GPPayment & Finance
High-quality care made clear, accessible and simple to plan.
Pay in full or spread the cost with structured payment plans, depending on your treatment and eligibility.
You receive a personalised treatment plan with all costs explained before you start – no hidden fees.
We provide detailed invoices and reports so you can easily manage your records or discuss reimbursement options.
For full details on pricing and payment plans, our team will guide you personally.
Our Locations
Two modern, fully equipped centres for routine and advanced treatments.
Comprehensive dental and medical care, including implant dentistry, GP consultations and diagnostics.
Address
EgoDent Dental & Medical Clinic
Stanmore, Greater London
United Kingdom
Family-focused dental and medical services, serving Surrey and surrounding areas.
Address
EgoDent Dental & Medical Clinic
Walton-on-Thames, Surrey
United Kingdom
Quick enquiry
For dental and medical enquiries, treatment information, or appointment guidance.
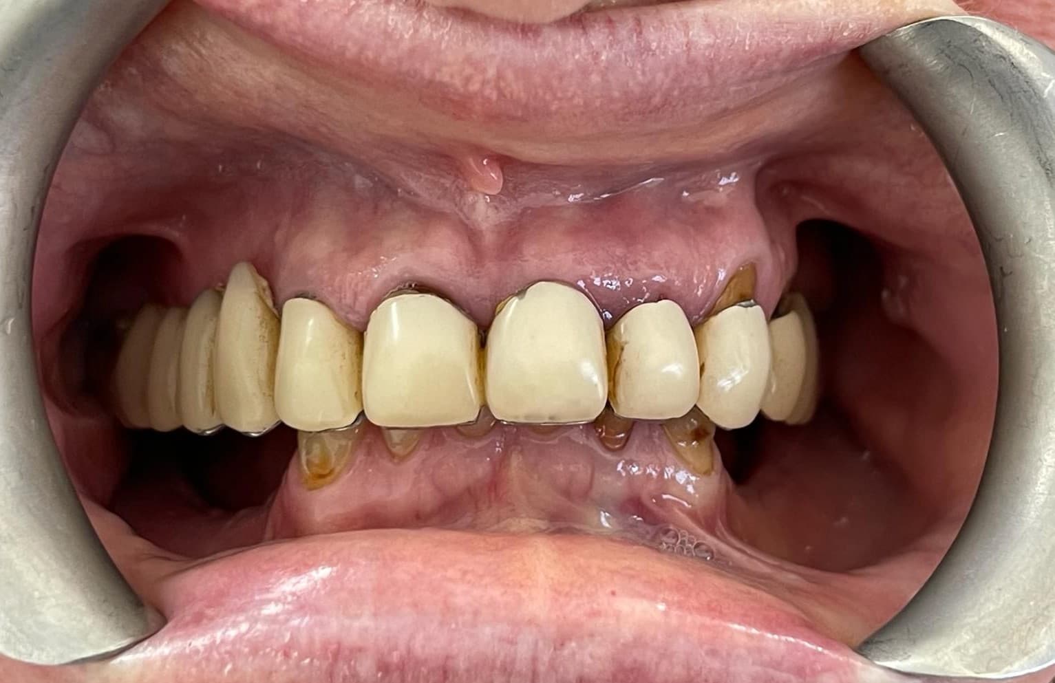
“I've had several fillings, crowns and an implant fitted, and I am very pleased with my treatment and with the attention I always receive from the dentist and nurses.”
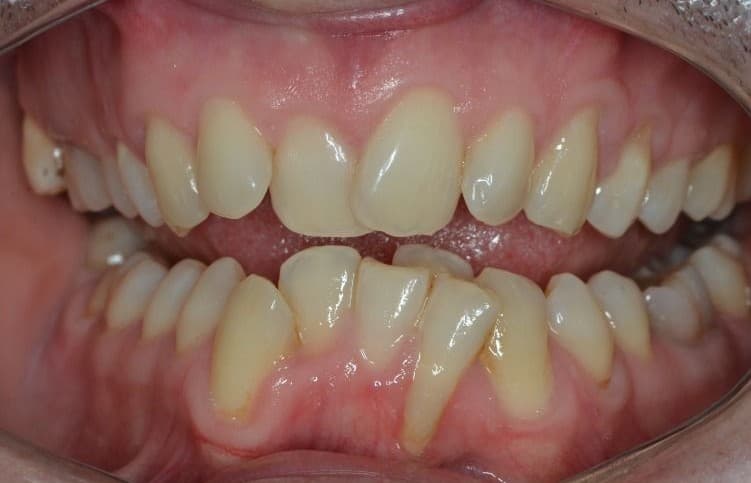
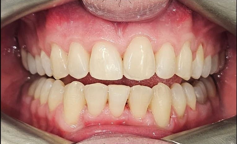
Results vary by case. Images shown with patient consent.












Ready when you are
Whether you're considering full mouth implants, routine care or a medical assessment, our team is here to help you choose the right next step.
Prefer to talk? Call 02033 016323 (Stanmore) or 01932 988460 (Walton-on-Thames).
Dental • EgoDent Group
Seamless clinician-to-lab workflow with in-house quality control — consistent standards, predictable outcomes, and faster turnaround.
For appointments call Stanmore: 02033 016323 • Walton-on-Thames: 01932 988460